강아지 내시경 위내 종 절제
페이지 정보
본문

안녕하세요. 경기동물의료원입니다
오늘은 저희 병원에서 내시경 수술을 받고 건강하게 회복한 말티즈 강아지의 이야기를 전해드리려 합니다.
내원 배경 및 임상 증상
이 아이는 최근 수주간 간헐적으로 구토를 반복하였으며, 특히 식후 구토가 잦아지는 양상을 보였습니다.
식욕은 어느 정도 유지되고 있었지만, 구토가 지속되면서 체중 감소도 관찰되었습니다.
신체검사에서는 큰 이상 소견은 없었으나, 반복적인 구토의 원인을 확인하기 위해 추가적인 영상 검사를 진행하기로 하였습니다.
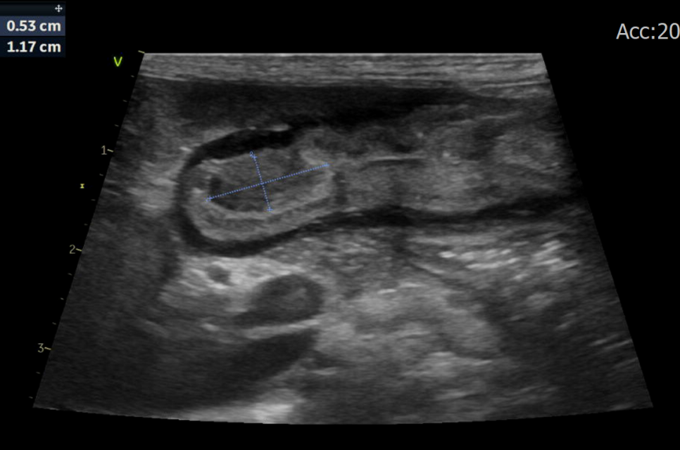
▶ 수술 전 영상 검사
복부 초음파에서 위 유문부 병변이 관찰

▶ 복부 초음파 검사 소견
복부 초음파 검사 결과, 위 유문부 부위에서 종괴 형태의 병변이 관찰되었습니다.
병변은 내강 쪽으로 돌출된 형태였으며, 위 배출을 부분적으로 방해할 가능성이 있어 보였습니다.
이러한 소견을 종합했을 때 위 유문부 폴립(polyp) 이 의심되었고, 확진 및 치료를 위해 내시경 검사를 계획하였습니다.
▶ 강아지 위 유문부란?
위 유문부(pylorus)는 위(stomach)와 십이지장(duodenum)을 연결하는 출구 역할을 하는 매우 중요한 구조입니다.
음식물이 위에서 충분히 소화된 후, 적절한 타이밍에 소장으로 이동하도록 조절해주는 ‘밸브’와 같은 기능을 합니다.

▶ 위 유문부(Pylorus)의 특징
위 유문부는 단순한 통로가 아니라, 유문 괄약근(pyloric sphincter) 이 존재하는 부위입니다.
▪ 음식물이 너무 빠르게 내려가지 않도록 조절
▪위 내용물이 소장으로 역류하지 않도록 방지
▪ 위 운동성과 직접적으로 연관된 구조
이 부위에 이상이 생기면 위 배출 장애(gastric outflow obstruction) 가 발생할 수 있으며,
그 결과로 식후 구토, 만성 구토, 체중 감소 등의 증상이 나타날 수 있습니다.
▶ 위 내시경 검사 및 치료 계획
병변의 형태와 크기를 고려했을 때, 외과적 수술 없이 내시경적 제거가 가능하다고 판단하였습니다.
내시경적 폴립 제거는
▪ 개복 수술이 필요 없고
▪ 회복이 빠르며
▪ 통증과 합병증 위험이 상대적으로 적다는 장점이 있습니다.
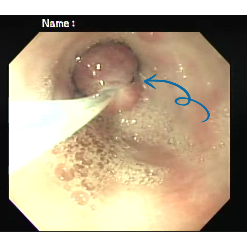
▶ 강아지 위 내시경 수술 중

▶ 내시경 폴립 제거 과정
내시경 기구를 이용해 폴립의 기저부를 확인한 후, 스네어(snare)를 이용해 병변을 안전하게 절제하였습니다.
출혈은 최소화되었으며, 제거 후 위 점막 상태도 안정적인 것을 확인하였습니다.
절제된 폴립은 조직 검사를 위해 병리 검사로 의뢰하였습니다.
▶ 강아지 위 내시경 수술 후

내시경 후 제거된 polyp입니다.
▶ 유문부 폴립(polyp)이 문제를 일으키는 이유
유문부는 원래도 내강이 비교적 좁은 구조이기 때문에,폴립과 같은 병변이 생기면 다음과 같은 문제가 발생할 수 있습니다.
▪ 위에서 십이지장으로 음식 이동 방해
▪ 음식이 위에 오래 머물며 구토 유발
▪ 특히 식후 바로 또는 수 시간 후 구토 발생
▶ 수술적 제거가 아닌 내시경이 가능하다면?
위 유문부는 내시경으로 직접 관찰이 가능하고, 병변이 점막에 국한된 경우 개복 수술 없이 내시경적 제거가 가능한 대표적인 부위입니다.
따라서
▪ 크기가 크지 않고
▪ 침윤성이 없으며
▪ 점막층에 국한된 폴립의 경우
내시경적 제거만으로도 충분한 치료 효과를 기대할 수 있습니다.
▶ 치료 후 경과
시술 후 환자는 빠르게 회복하였으며, 이후 구토 증상은 소실되었습니다.
식욕도 정상적으로 회복되었고, 퇴원 후 추적 관찰에서도 특별한 이상 소견은 확인되지 않았습니다.
병리 검사 결과에서도 양성 폴립으로 확인되어 보호자분께도 안심할 수 있는 결과를 안내드릴 수 있었습니다.
▶ 마무리하며
반복적인 구토 증상이 있을 경우 단순 위장염으로만 생각하기 쉽지만, 이번 케이스처럼 위 유문부 폴립과 같은 구조적인 원인이 숨어있는 경우도 있습니다.
초음파와 내시경 검사를 적절히 활용하면
✔ 정확한 진단
✔ 수술 없이 치료
✔ 빠른 회복
이라는 좋은 결과를 얻을 수 있습니다.
강아지의 구토가 반복되거나 양상이 점점 심해진다면, 조기에 병원에 내원하여 정밀 검사를 받아보는 것이 중요합니다.
경기동물의료원은 강아지 흉복강경 수술, 내시경 등 외과 질환에 대한 최신 수술방향에 맞추어 최소침습수술센터를 운영하고 있습니다.
관련 진료 기기를 구비중이며, 검사의 정확성이 향상된 장비와 외과 센터를 보유하고 있습니다.
- 이전글절뚝거리는 증상이 반복되던 강아지의 슬개골 탈구 수술 26.01.23
- 다음글강아지 백내장, 수술이 필요한 시점은 언제일까요? 백내장 치료 후기 26.01.16